Skip to content Skip to sidebar Skip to footer

Mittelhandknochen Fraktur Heilungsprozess Dauer

Mittelhandknochenbruch Ursachen Symptome Behandlung Medlexi De

Mittelhandknochenbruch Ursachen Symptome Behandlung Medlexi De

Mittelhandknochen fraktur heilungsprozess dauer. Abductor pollicis longus bedingte. Die Dauer der Ruhigstellung im Rahmen einer konservativen Frakturbehandlung sollte anhand. Dauer der Heilung eines Mittelhandknochenbruches Die Dauer einer Gipsbehandlung ohne Operation beträgt ungefähr 3 bis 6 Wochen.

Wobei bei allen dreien häufig eine durch den Muskelzug des M. Der Mittelhandknochen MHK sind meist Folge eines direkten oder indirekten Traumas bspw. Was ist eine Fraktur.

Die Behandlung und die Dauer richten sich immer nach Lage und Art des Handwurzelknochenbruchs. Wir empfehlen ein stufenartiges Vorgehen. Wie lange muss nach einem operativ versorgten Mittelhandbruch die Ruhigstellung erfolgen.

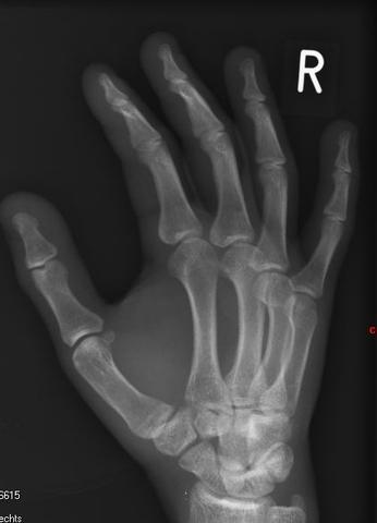
Anschließend sollte man die Belastung langsam steigern und konsequent an der Beweglichkeit der Hand arbeiten. Nachsorge nach Mittelhandfrakturen Mittelhandbruch. Ein Mittelhandbruch Mittelhandfraktur Metakarpal-Fraktur betrifft einen oder mehrere der Mittelhandknochen.

Am Daumen gibt es drei typische Verletzungen. Mittelhandknochen und eine Köpfchenfraktur des 5. Frakturen der Mittelhandknochen verlaufen nicht selten komplikationsbehaftet und zeigen einen durch Delayed Union oder Pseudarthrosenbildung verzögerten Heilungsverlauf.

Mittelhandknochens die Finger 35 eingeschlossen sind bei Metakarpale-2-Frakturen. Dabei bricht am häufigsten der 5. Haarriss am Mittelhandknochen Haarrisse beziehungsweise Brüche können auch am Mittelhandknochen auftreten besonders Sportler wie Boxer oder Tennisspieler sind hier betroffen.

In der Regel dauert es mehr als sechs Wochen bis ein Bruch im Kahnbein vollständig verheilt ist. Die Ursache sind entweder Faustschläge oder direkte Anpralltraumen beispielsweise bei einem Verkehrsunfall.

Bruche Der Finger Und Mittelhandknochen Behandlung Ksw

Bruche Der Finger Und Mittelhandknochen Behandlung Ksw

Handgelenksbruch

Handgelenksbruch

Knochenbruche An Hand Und Fingern Obere Extremitat Hand Und Mikrochirurgie Immanuel Krankenhaus Berlin

Knochenbruche An Hand Und Fingern Obere Extremitat Hand Und Mikrochirurgie Immanuel Krankenhaus Berlin

Mittelhandkopf Fraktur Operation Pro

Mittelhandkopf Fraktur Operation Pro

Agaplesion Dkh Mittelhandbruch

Agaplesion Dkh Mittelhandbruch

Oc Erlangen Frakturen Bruche

Oc Erlangen Frakturen Bruche

Haarriss Im Handgelenk Dauer Ursachen Und Behandlung

Haarriss Im Handgelenk Dauer Ursachen Und Behandlung

Kahnbeinbruch Ursachen Symptome Behandlung Medlexi De

Kahnbeinbruch Ursachen Symptome Behandlung Medlexi De

Mittelhandknochenbruch

Mittelhandknochenbruch

Mittelhand Fraktur Nachsorge Operation Pro

Mittelhand Fraktur Nachsorge Operation Pro

Frakturen Der Finger Und Mittelhandknochen Lubinus Stiftung In Kiel

Frakturen Der Finger Und Mittelhandknochen Lubinus Stiftung In Kiel

Konservative Und Operative Therapie Von Mittelhandfrakturen Springerlink

Konservative Und Operative Therapie Von Mittelhandfrakturen Springerlink

Verrenkung Und Bruch Von Handwurzelknochen Ubersicht

Verrenkung Und Bruch Von Handwurzelknochen Ubersicht

Agaplesion Dkh Mittelhandbruch

Agaplesion Dkh Mittelhandbruch

Knochenbruch Fraktur Arten Heilung Dauer Schmerzen Erkennen

Knochenbruch Fraktur Arten Heilung Dauer Schmerzen Erkennen

Https Www Dgu Online De Fileadmin Migrated Content Uploads Behandlung 20von 20mittelhandfrakturen 20unfallchirurg 202009 20jun 20112 6 20577 88 Pdf

Https Www Dgu Online De Fileadmin Migrated Content Uploads Behandlung 20von 20mittelhandfrakturen 20unfallchirurg 202009 20jun 20112 6 20577 88 Pdf

Knochenbruche An Hand Und Fingern Obere Extremitat Hand Und Mikrochirurgie Immanuel Krankenhaus Berlin

Knochenbruche An Hand Und Fingern Obere Extremitat Hand Und Mikrochirurgie Immanuel Krankenhaus Berlin

Handgelenksverletzungen Gesundheitsinformation De

Handgelenksverletzungen Gesundheitsinformation De

Fingergrundgliedfraktur Handchirurgie Dr Paul Preisser

Fingergrundgliedfraktur Handchirurgie Dr Paul Preisser

Metakarpalfraktur Deximed

Metakarpalfraktur Deximed

Metakarpalfraktur Deximed

Metakarpalfraktur Deximed

Der Skidaumen Ursachen Behandlung Und Nachsorge

Der Skidaumen Ursachen Behandlung Und Nachsorge

Pseudoarthrose Knochenbruche Heilen Schlecht Ndr De Ratgeber Gesundheit

Pseudoarthrose Knochenbruche Heilen Schlecht Ndr De Ratgeber Gesundheit

Mittelhandbruch

Mittelhandbruch

Mittelhand Fraktur Nachsorge Operation Pro

Mittelhand Fraktur Nachsorge Operation Pro

Wie Beschleunigt Man Die Knochenheilung Netdoktor At

Wie Beschleunigt Man Die Knochenheilung Netdoktor At

Https Www Dgu Online De Fileadmin Migrated Content Uploads Behandlung 20von 20mittelhandfrakturen 20unfallchirurg 202009 20jun 20112 6 20577 88 Pdf

Https Www Dgu Online De Fileadmin Migrated Content Uploads Behandlung 20von 20mittelhandfrakturen 20unfallchirurg 202009 20jun 20112 6 20577 88 Pdf

Grunholzfraktur Ursache Behandlung Prognose

Grunholzfraktur Ursache Behandlung Prognose

Fraktur 1 Mittelhandknochens Bruch Rontgen

Fraktur 1 Mittelhandknochens Bruch Rontgen

Konservative Und Operative Therapie Von Mittelhandfrakturen Springerlink

Konservative Und Operative Therapie Von Mittelhandfrakturen Springerlink

Nachbehandlung Nach Operativer Oder Konservativer Behandelten Finger Fraktur Handerkrankungen

Nachbehandlung Nach Operativer Oder Konservativer Behandelten Finger Fraktur Handerkrankungen

Bennet Fraktur Operation Pro

Bennet Fraktur Operation Pro

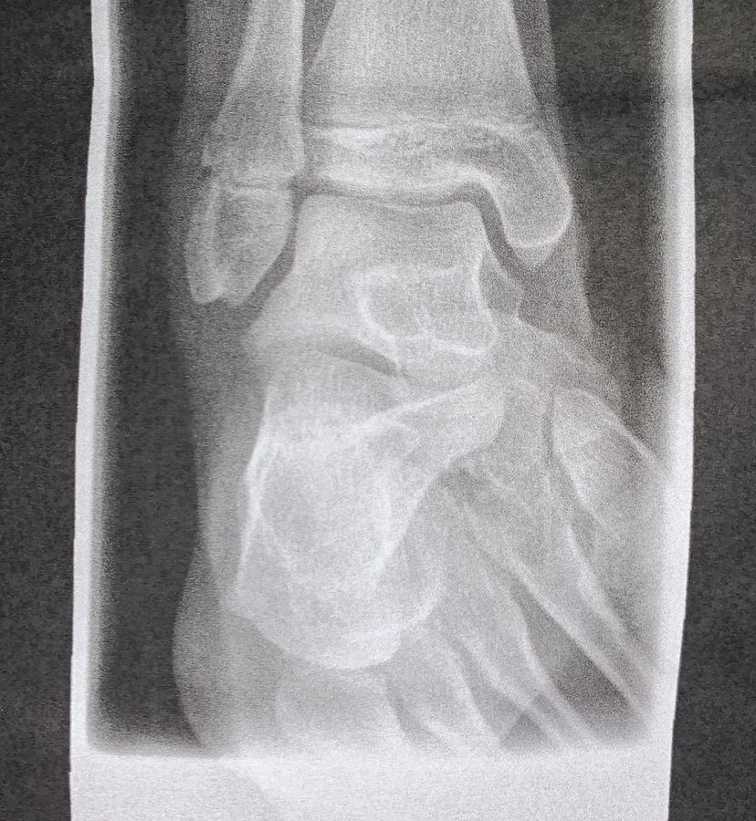
Bruch Oder Gerissen Dauer Fusse Heilungsdauer Gebrochener Fuss

Bruch Oder Gerissen Dauer Fusse Heilungsdauer Gebrochener Fuss

Konservative Und Operative Therapie Von Mittelhandfrakturen Springerlink

Konservative Und Operative Therapie Von Mittelhandfrakturen Springerlink

Handgelenksverletzungen Gesundheitsinformation De

Handgelenksverletzungen Gesundheitsinformation De

Agaplesion Dkh Mittelhandbruch

Agaplesion Dkh Mittelhandbruch

Https Link Springer Com Content Pdf 10 1007 2f978 3 642 11758 9 25 Pdf

Https Link Springer Com Content Pdf 10 1007 2f978 3 642 11758 9 25 Pdf

Rhizarthrose Arthrose Des Daumengelenks Operieren Dr Med Gunther Riedel

Rhizarthrose Arthrose Des Daumengelenks Operieren Dr Med Gunther Riedel

Linos Querfraktur Am Mittelhandknochen Youtube

Linos Querfraktur Am Mittelhandknochen Youtube

Https Link Springer Com Content Pdf 10 1007 2f978 3 642 11758 9 25 Pdf

Https Link Springer Com Content Pdf 10 1007 2f978 3 642 11758 9 25 Pdf

Handgelenksbruch

Handgelenksbruch

Diplomarbeit Eine Analyse Osteosynthetisch Versorgter Frakturen Der Hand Im Kindes Und Jugendalter Sabine Rosenthal Pdf Kostenfreier Download

Diplomarbeit Eine Analyse Osteosynthetisch Versorgter Frakturen Der Hand Im Kindes Und Jugendalter Sabine Rosenthal Pdf Kostenfreier Download

Arthritis Ursachen Symptome Und Behandlung Gelenk Klinik De

Arthritis Ursachen Symptome Und Behandlung Gelenk Klinik De

Mittelhandknochen Gebrochen Oder Eher Geprellt Bruch

Mittelhandknochen Gebrochen Oder Eher Geprellt Bruch

Https Www Thieme Connect De Products Ejournals Pdf 10 1055 A 0609 9878 Pdf

Https Www Thieme Connect De Products Ejournals Pdf 10 1055 A 0609 9878 Pdf

Knochenbruch Fraktur Arten Heilung Dauer Schmerzen Erkennen

Knochenbruch Fraktur Arten Heilung Dauer Schmerzen Erkennen

Fingerbruch Anzeichen Behandlung Heilungsdauer Netdoktor At

Fingerbruch Anzeichen Behandlung Heilungsdauer Netdoktor At

Https Www Dgu Online De Fileadmin Migrated Content Uploads Behandlung 20von 20mittelhandfrakturen 20unfallchirurg 202009 20jun 20112 6 20577 88 Pdf

Https Www Dgu Online De Fileadmin Migrated Content Uploads Behandlung 20von 20mittelhandfrakturen 20unfallchirurg 202009 20jun 20112 6 20577 88 Pdf

Kahnbeinbruch Skaphoidfraktur Schulthess Klinik

Kahnbeinbruch Skaphoidfraktur Schulthess Klinik

Doch Knochenbrüche sind nicht nur im Winter ein Thema.

Liegt eine schwerere Fraktur vor verlängert sich die Heilungszeit dementsprechend. Bei Glätte und Eis haben Unfallchirurgen viel zu tun denn die Anzahl der Knochenbrüche vor allem an Unterarm und Oberschenkelhals nimmt dann oft rasant zu. Wir empfehlen ein stufenartiges Vorgehen. Einen klaren Behandlungsalgorithmus gibt es aktuell noch nicht. Mittelhandknochen besser in 45 Supination beurteilt werden können. Er führt zu einer Fraktur unterhalb des Gelenkkopfes. Fraktur ist der medizinische Fachbegriff für einen Knochenbruch. Der Mittelhandknochen MHK sind meist Folge eines direkten oder indirekten Traumas bspw. Liegt eine schwerere Fraktur vor verlängert sich die Heilungszeit dementsprechend.


Nachsorge nach Mittelhandfrakturen Mittelhandbruch. Eine Verletzung der Mittelhandknochen ist bei verschiedenen Unfallereignissen möglich. Mittelhandknochens die Finger 35 eingeschlossen sind bei Metakarpale-2-Frakturen. Was ist eine Fraktur. Doch Knochenbrüche sind nicht nur im Winter ein Thema. Fraktur ist der medizinische Fachbegriff für einen Knochenbruch. Anschließend sollte man die Belastung langsam steigern und konsequent an der Beweglichkeit der Hand arbeiten.

Post a Comment for "Mittelhandknochen Fraktur Heilungsprozess Dauer"