Skip to content Skip to sidebar Skip to footer

Mrt Kopf Bilder Auswerten

Kopf Mrt Ursachen Fur Kopfschmerzen Schwindel Und Druckgefuhl Finden

Kopf Mrt Ursachen Fur Kopfschmerzen Schwindel Und Druckgefuhl Finden

Mrt kopf bilder auswerten. Biceps brachii kurzer Kopf. Eine erste Zwischenbilanz der Greifswalder Mediziner ergab. Dadurch entstehen verschieden aussehende Bilder.

Der Bilder der MRT Kopf Untersuchung sind direkt nach Abschluss der Untersuchung verfügbar. In diesem Format ist es möglich jedem Bild noch andere Informationen zur Bildanalyse zu speichern Der Aufbau eines MRT -Befundes. Diese Seite präsentiert eine umfassende Serie von markierten axialen sagittalen und koronalen Bildern einer normalen MRT-Untersuchung des menschlichen Gehirns.

MRT-Dateien enthalten die Bilder und Informationen die bei der Magnet-Resonanz-Tomographie gesammelt wurden und werden im DICOM Format erstellt. 4 obere Schläfenwindung Gyrus temporalis superior. 1 Größer Brustmuskel M.

MRT Kopf durchleuchten Magnetresonanztomographie Diagnostik About Press Copyright Contact us Creators Advertise Developers Terms Privacy Policy Safety How YouTube. 2 Bizepsmuskel oder Zweiköpfiger Oberarmbeuger M. Der Arzt nennt diese verschiedenen Aufnahmetechniken Wichtungen.

Einmal an der Stelle der Schwellung besagte Raumforderung. Die MRT Bilder zeigen im Vergleich zu alten Aufnahmen des anderen Knies drei markante Auffälligkeiten. Auf den weiteren Bildern im Querschnitt erkennt man dass die Umrisse dieses schwarzen fransigen Lochs immer definierter werden und auch kleiner.

Dieser Bericht wird dann zum Überweiser geschickt. Die knöchernen Umbauten und die Fehlstellung kleiner Wirbelgelenke sind deutlich erkennbar sodass die Zwischenwirbelgelenke eingeengt sind. MRT Bilder neu auswerten Hallo zusammen ich habe eine Frage zu MRT Bildern.

2 Seitenventrikel Ventriculus lateralis. MRT des Knöchels und der Füße Eine Magnetresonanztomographie MRT wurde an einem normalen Probanden durchgeführt.

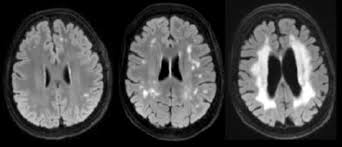
Wenn Das Gehirn Weiss Wird Healthcare In Europe Com

Wenn Das Gehirn Weiss Wird Healthcare In Europe Com

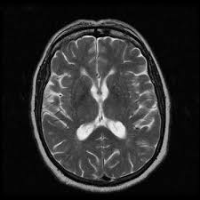
Mrt Des Kopfes

Mrt Des Kopfes

Mrt Kopf Alles Zur Kernspintomographie Med 360

Mrt Kopf Alles Zur Kernspintomographie Med 360

Kopf Mrt Ursachen Fur Kopfschmerzen Schwindel Und Druckgefuhl Finden

Kopf Mrt Ursachen Fur Kopfschmerzen Schwindel Und Druckgefuhl Finden

Edel Im Schadel Mrt Von Meinem Kopf Magnetresonanztomographie Youtube

Edel Im Schadel Mrt Von Meinem Kopf Magnetresonanztomographie Youtube

Kopf Mrt Ursachen Fur Kopfschmerzen Schwindel Und Druckgefuhl Finden

Kopf Mrt Ursachen Fur Kopfschmerzen Schwindel Und Druckgefuhl Finden

Magnetresonanztomographie Mrt Des Kopfes Ct Mrt Institut Berlin

Magnetresonanztomographie Mrt Des Kopfes Ct Mrt Institut Berlin

Bildgebende Verfahren Rontgen Ct Und Mrt Kenhub

Bildgebende Verfahren Rontgen Ct Und Mrt Kenhub

Mrt Ablauf Vorteile Risiken Der Kernspintomographie

Mrt Ablauf Vorteile Risiken Der Kernspintomographie

Mrt Schadel Neuroradiologie

Mrt Schadel Neuroradiologie

Kernspindiagnostik Wie Aus Kerngesunden Plotzlich Kranke Werden Der Spiegel

Kernspindiagnostik Wie Aus Kerngesunden Plotzlich Kranke Werden Der Spiegel

Kopf Mrt Das Sollten Sie Zur Untersuchung Wissen

Kopf Mrt Das Sollten Sie Zur Untersuchung Wissen

Kernspintomographie

Kernspintomographie

Mrt Kopf Kleine Aufklarung Gesundheit Medizin Krankheit

Mrt Kopf Kleine Aufklarung Gesundheit Medizin Krankheit

Mrt Atlas Des Menschlichen Gehirns

Mrt Atlas Des Menschlichen Gehirns

Grundlagen Und Unterscheidungsmerkmale Zu Wichtigen Mrt Sequenzen Youtube

Grundlagen Und Unterscheidungsmerkmale Zu Wichtigen Mrt Sequenzen Youtube

Ms Diagnose Was Zeigt Eine Mrt Untersuchung An

Ms Diagnose Was Zeigt Eine Mrt Untersuchung An

Mrt Kopf Grunde Ablauf Dauer Kosten Praktischarzt

Mrt Kopf Grunde Ablauf Dauer Kosten Praktischarzt

Kernspintomographie Schadel Mrt Mri Nmr Youtube

Kernspintomographie Schadel Mrt Mri Nmr Youtube

Arzt Bewertung Eine Mrt Kopf Und Hals Stockfotografie Alamy

Arzt Bewertung Eine Mrt Kopf Und Hals Stockfotografie Alamy

Mrt In Der Krebsmedizin

Mrt In Der Krebsmedizin

Gadolinium Fda Findet Keine Hirnschaden Durch Mrt Kontrastmittel

Gadolinium Fda Findet Keine Hirnschaden Durch Mrt Kontrastmittel

Magnetresonanztomographie Mrt Des Kopfes Ct Mrt Institut Berlin

Magnetresonanztomographie Mrt Des Kopfes Ct Mrt Institut Berlin

Https Encrypted Tbn0 Gstatic Com Images Q Tbn And9gcsbqfnblmoqkflobgztej3cq0tokmgaufnwyhbmjxycvjdd09sb Usqp Cau

Https Encrypted Tbn0 Gstatic Com Images Q Tbn And9gcsbqfnblmoqkflobgztej3cq0tokmgaufnwyhbmjxycvjdd09sb Usqp Cau

Wenn Das Gehirn Weiss Wird Healthcare In Europe Com

Wenn Das Gehirn Weiss Wird Healthcare In Europe Com

Mr Tomographie Leistungsspektrum Methoden Diagnostische Und Interventionelle Radiologie Die Kliniken Diakovere Henriettenstift Diakovere

Mr Tomographie Leistungsspektrum Methoden Diagnostische Und Interventionelle Radiologie Die Kliniken Diakovere Henriettenstift Diakovere

Mrt Kopf Konnten Das Ms Lasionen Sein

Mrt Kopf Konnten Das Ms Lasionen Sein

Kernspintomographie

Kernspintomographie

Mrt Kopf Radtop De Praxis Fur Radiologie Neuroradiologie Dr Topcu Kollegen

Mrt Kopf Radtop De Praxis Fur Radiologie Neuroradiologie Dr Topcu Kollegen

Magnetresonanztomographie Umm Universitatsmedizin Mannheim

Magnetresonanztomographie Umm Universitatsmedizin Mannheim

Hirntumoren Ki Erkennt Welche Therapie Wirkt Healthcare In Europe Com

Hirntumoren Ki Erkennt Welche Therapie Wirkt Healthcare In Europe Com

Mrt Hws Halswirbelsaule Grunde Ablauf Dauer Praktischarzt

Mrt Hws Halswirbelsaule Grunde Ablauf Dauer Praktischarzt

Magnetresonanztomographie Mrt Institut Fur Diagnostische Und Interventionelle Radiologie Kinder Und Neuroradiologie

Magnetresonanztomographie Mrt Institut Fur Diagnostische Und Interventionelle Radiologie Kinder Und Neuroradiologie

Multiple Sklerose Universitatsinstitut Fur Diagnostische Und Interventionelle Neuroradiologie

Multiple Sklerose Universitatsinstitut Fur Diagnostische Und Interventionelle Neuroradiologie

Mrt Des Kopfes

Mrt Des Kopfes

Ct Kopf Schadel Cct Ablauf Dauer Bilder Praktischarzt

Ct Kopf Schadel Cct Ablauf Dauer Bilder Praktischarzt

Mrt Auswertung Helle Flecken Gesundheit Und Medizin Gesundheit Medizin

Mrt Auswertung Helle Flecken Gesundheit Und Medizin Gesundheit Medizin

Kopf Halsbereich Privatinstitut Fur Kernspindiagnostik

Kopf Halsbereich Privatinstitut Fur Kernspindiagnostik

Mrt Funktionsweise Und Untersuchungen Focus Arztsuche

Mrt Funktionsweise Und Untersuchungen Focus Arztsuche

Multiple Sklerose Ms Autoimmunerkrankung Des Zentralnervensystems In Mrt Aufnahme By Radiologie Tv Youtube

Multiple Sklerose Ms Autoimmunerkrankung Des Zentralnervensystems In Mrt Aufnahme By Radiologie Tv Youtube

Multiple Sklerose Universitatsinstitut Fur Diagnostische Und Interventionelle Neuroradiologie

Multiple Sklerose Universitatsinstitut Fur Diagnostische Und Interventionelle Neuroradiologie

Fragwurdiges Mrt Kopf Gesundheit Frauen Arzt

Fragwurdiges Mrt Kopf Gesundheit Frauen Arzt

Wenn Das Gehirn Weiss Wird Healthcare In Europe Com

Wenn Das Gehirn Weiss Wird Healthcare In Europe Com

Magnetresonanztomographie Mrt In Der Depressionsforschung 2012 Wiley Analytical Science

Magnetresonanztomographie Mrt In Der Depressionsforschung 2012 Wiley Analytical Science

Computertomographie Von Kopf Und Nasennebenhohlen Nnh Ct Ct Mrt Institut Berlin

Computertomographie Von Kopf Und Nasennebenhohlen Nnh Ct Ct Mrt Institut Berlin

Mrt Kernspintomografie Ablauf Dauer Kosten Praktischarzt

Mrt Kernspintomografie Ablauf Dauer Kosten Praktischarzt

Diagnose Von Hirntumoren Dkg

Diagnose Von Hirntumoren Dkg

Mrt Kopf

Mrt Kopf

Https Encrypted Tbn0 Gstatic Com Images Q Tbn And9gct Ukx9vxdf42wrh6amlcdrv78prqsaihhzljjifqef Wnvdgfq Usqp Cau

Https Encrypted Tbn0 Gstatic Com Images Q Tbn And9gct Ukx9vxdf42wrh6amlcdrv78prqsaihhzljjifqef Wnvdgfq Usqp Cau

5 Trizeps Muskel oder Dreiköpfiger Oberarmstrecker M.

Dieses Werkzeug das die Anatomie des Gehirnes im querschnitt zeigt dient als Referenzatlas fur die Radiologen und Forschern die es bei der genauen Identifizierung der Gehirnstrukturen benutzen. 3 obere Frontalwindung Gyrus frontalis superior. Dadurch entstehen verschieden aussehende Bilder. Die MRT Bilder zeigen im Vergleich zu alten Aufnahmen des anderen Knies drei markante Auffälligkeiten. MRT-Dateien enthalten die Bilder und Informationen die bei der Magnet-Resonanz-Tomographie gesammelt wurden und werden im DICOM-Format erstellt. 5 mittlere Schläfenwindung Gyrus. 1 Balkenschnabel Rostrum Corpus callosum. In diesem Format ist es möglich jedem Bild noch andere Informationen zur Bildanalyse zu speichern Der Aufbau eines MRT -Befundes. 2 Bizepsmuskel oder Zweiköpfiger Oberarmbeuger M.


Dieser Bericht wird dann zum Überweiser geschickt. Die Auswertung selbst wird vom Radiologen gemacht. Axial koronal und sagittal. Befund soll alles in Ordnung sein - laufen und Auto fahren geht aber nur unter Schmerzen. Somit kann in diesem Fall der Hausarzt anhand des Befundes sehen was der Radiologe beschrieben und gesehen hat. Außerdem im Knochen des Oberschenkels eine Auffälligkeit im pd tse fs blade Aufhellung mit fransigem Rand und im Oberschenkel eine im pd tse fs blade dunkle Raumforderung mit einem Hellen Kern. Dieses Werkzeug das die Anatomie des Gehirnes im querschnitt zeigt dient als Referenzatlas fur die Radiologen und Forschern die es bei der genauen Identifizierung der Gehirnstrukturen benutzen.

Post a Comment for "Mrt Kopf Bilder Auswerten"